Наши работы
Кейсы от наших специалистов

Пациент
Олеся
Олеся
Пациентка 45 лет. Всегда стеснялась широко улыбаться на фото, стремилась к красивому и долговечному результату. Выполнено: 3Д диагностика и моделировка, тотальная реабилитация винирами и полукоронками с полным восстановлением функции.


Пациент
Роман
Роман
Успешный молодой мужчина обратился за белоснежной улыбкой. Выполнено: 3Д диагностика и моделировка, восстановление зубов на верхней челюсти винирами с полным сохранением анатомическими особенностями и функции.
Пациент
Светлана
Светлана
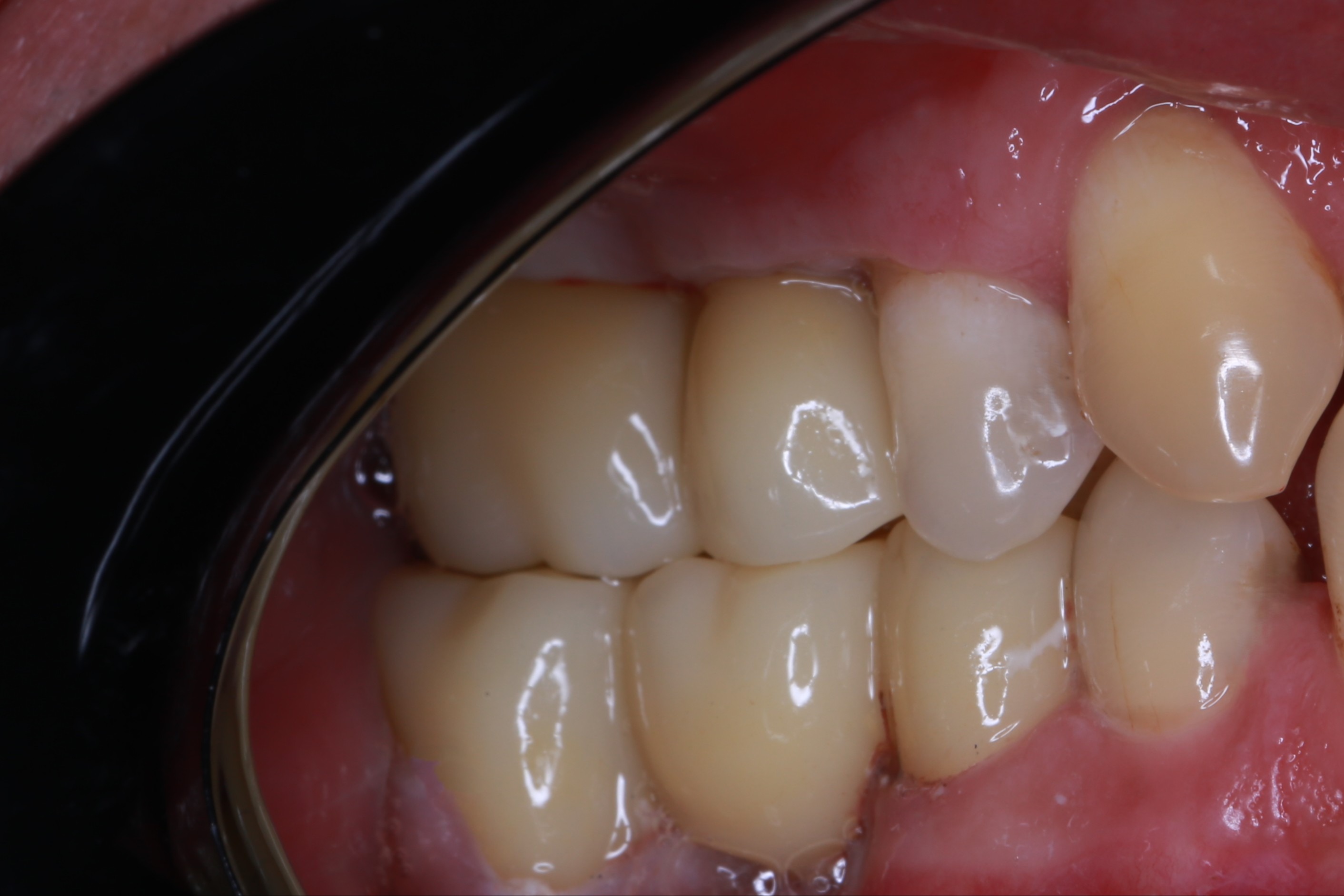
Пациентка 40 лет. Жалобы на небольшие щели между зубами, общий вид зубов. Хотела добиться ровной улыбки без ношения брекетов. Главные пожелания сохранить легкую ассиметрию, острые клыки и естественную форму зубов, получить эффект отбеленных зубов. "Чтобы никто не понял, что это не свое!" (цитата) Выполнено: 3Д Диагностика и моделирование, реставрация 10 зубов на верхней челюсти винирами и полукоронками.
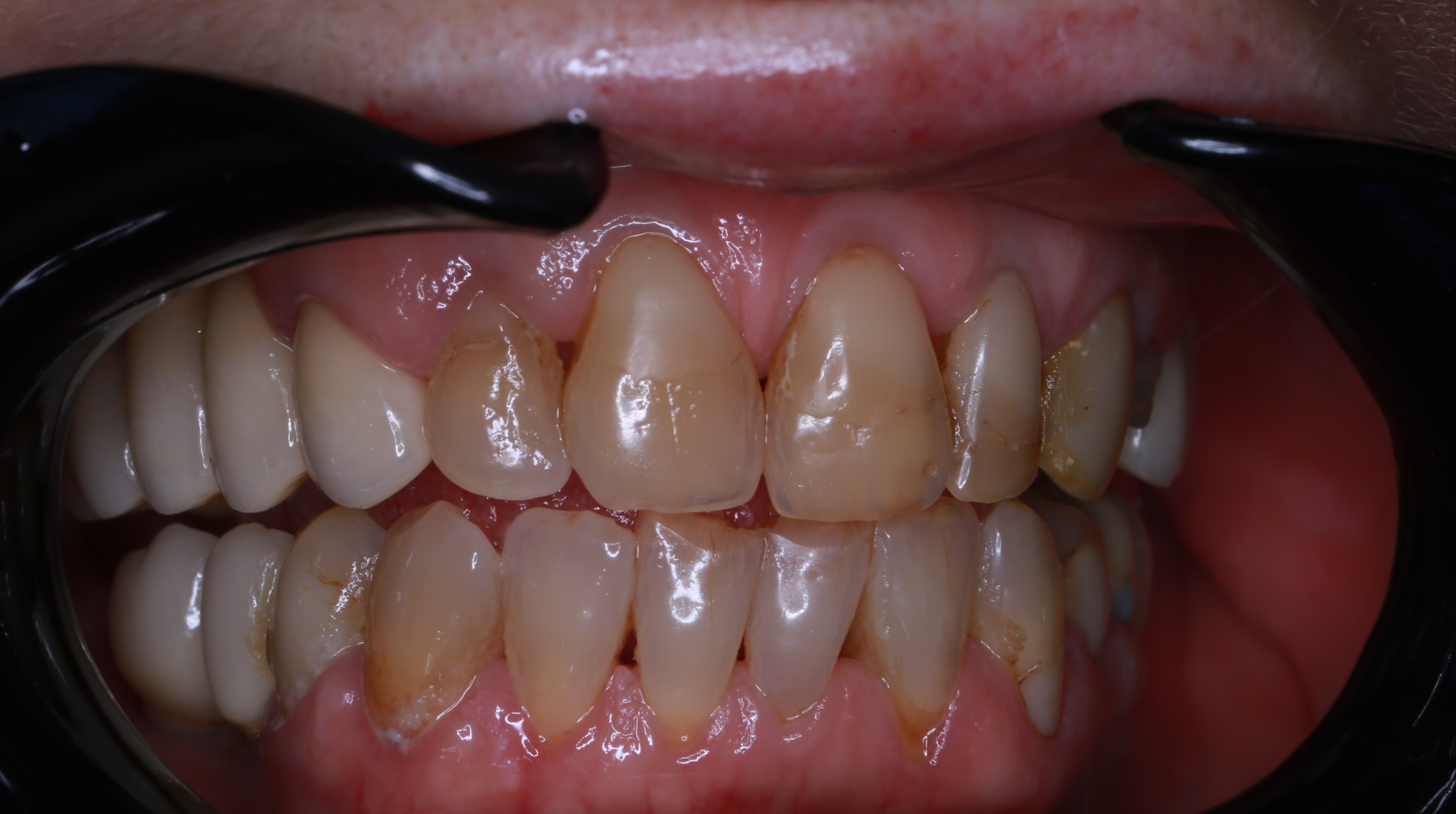
Пациент
Валентина
Валентина
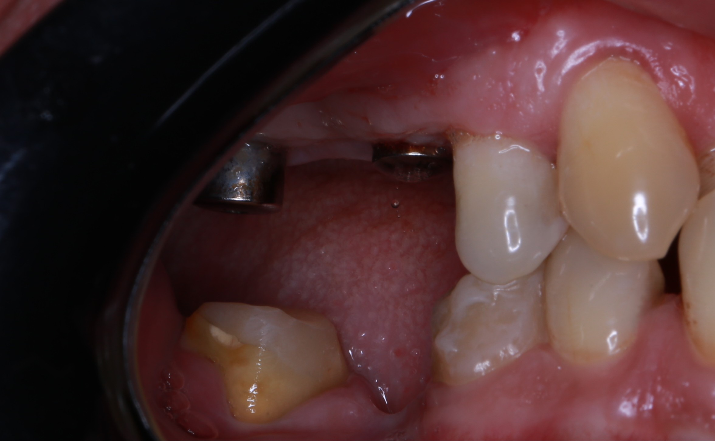
Пациентка 68 лет. Обратилась по поводу отсутствующего зуба в линии улыбки. Вариант имплантации не желателен в связи с сопутствующими заболеваниями. Задача осложнялась состоянием парадонта и дисколоритом зубов. Выполнено: реставрация отсутствующего зуба мостовидным протезом из диоксида циркония.
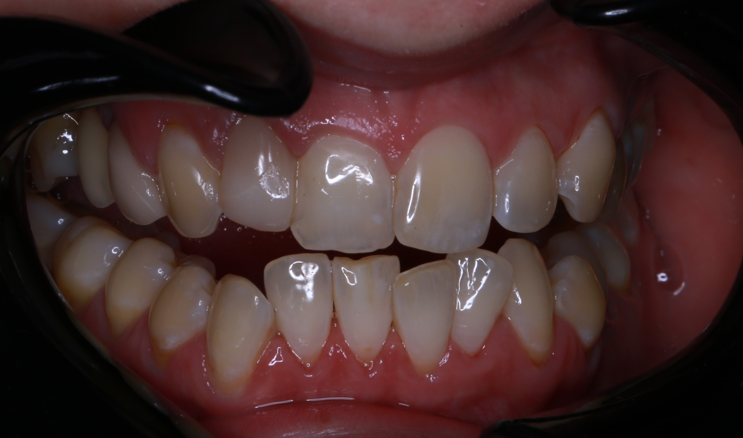
Пациент
Наталья
Наталья
Пациентка 35 лет. Хотела красивую улыбку, жаловалась на неровные зубы. Выполнено: 3Д диагностика и моделирование, реставрация винирами восьми передних зубов верхней челюсти.

Пациент
Анна
Анна
Красивая, эффектная девушка 40 лет живет в другой стране, носила брекеты около 4х лет. Хотела завершить свое преображение с помощью виниров. Проведена тотальная 3д диагностика, моделирование улыбки и смыкания с учетом движения сустава нижней челюсти. Выполнена реставрация зубов винирами и полукоронками на верхней и нижней челюстях.
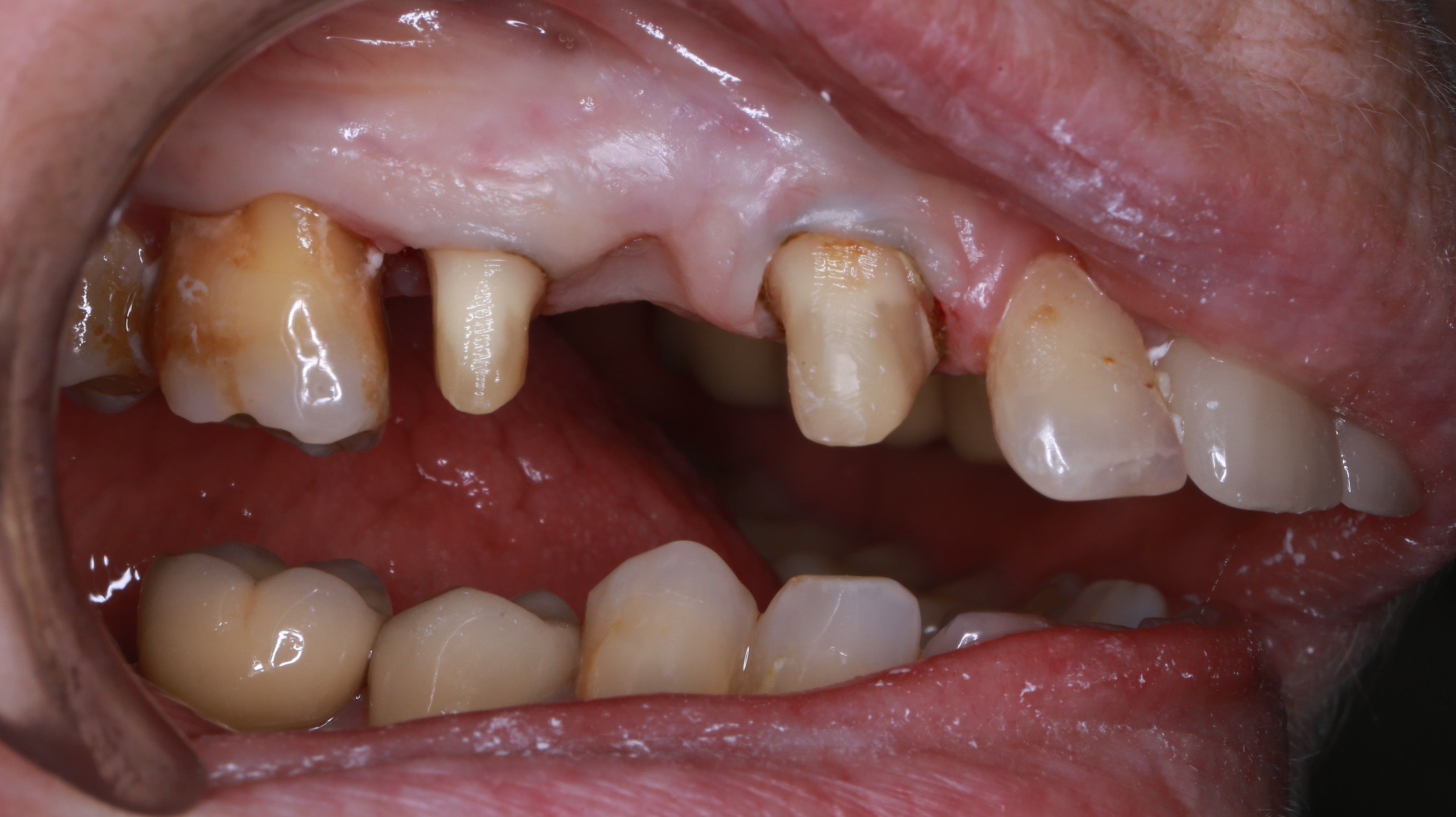
Пациент
Алексей
Алексей
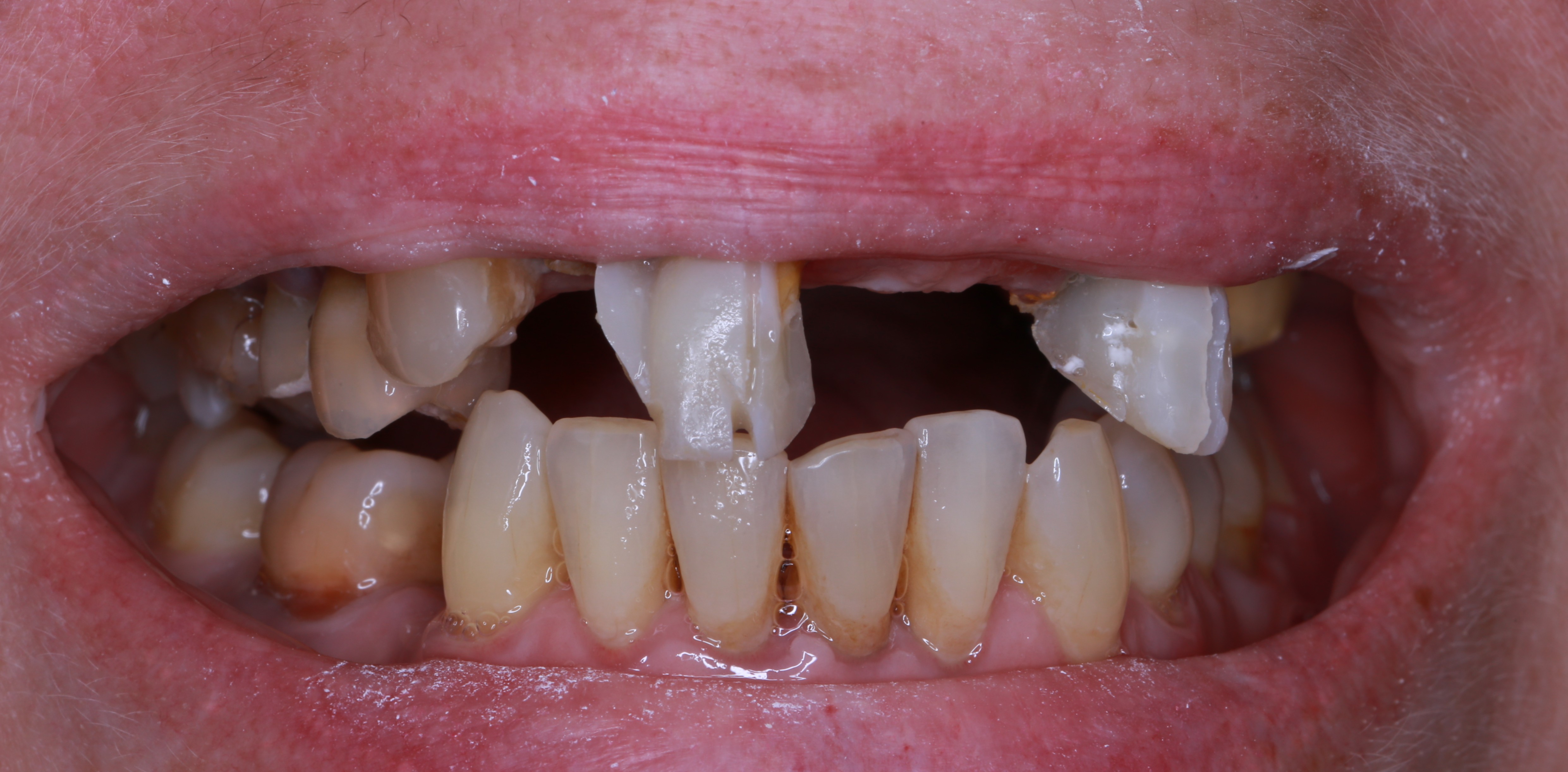
Пациент 47 лет. Обратился с жалобами на отсутствие зубов и проблемой пережевывания еды . Выполнено: дентальная имплантация в области боковых зубов верхней челюсти, протезирование коронками на основе диоксида циркония на имплантах и мостовидным протезом нижней челюсти.
Пациент
Анна
Анна
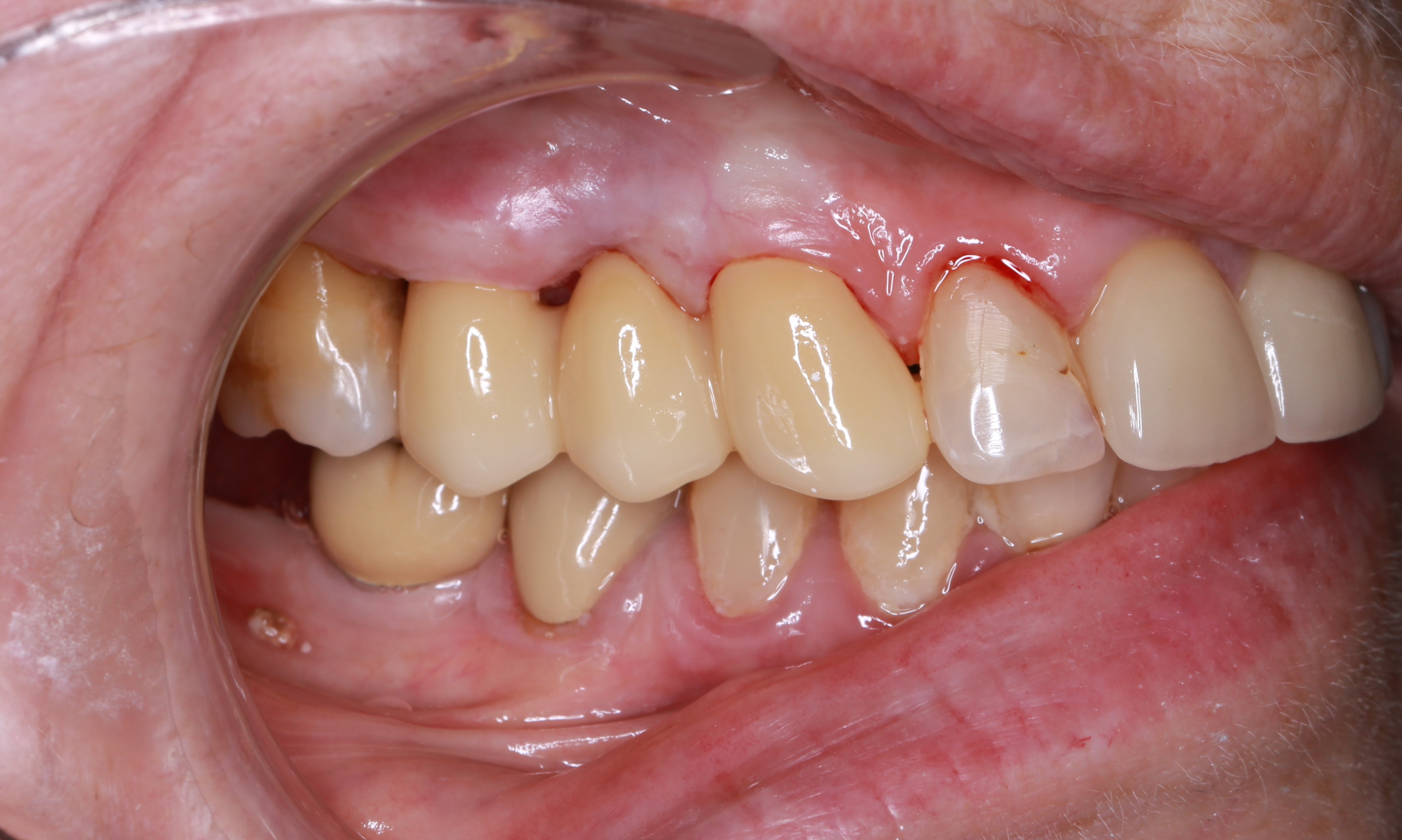
Пациентка 50 лет, обратилась с жалобами на несостоятельность старой мостовидной конструкции. Хотела добиться естественной "молодой" улыбки с восстановлением жевательной функции. Проведена тотальная 3д диагностика, моделирование улыбки и смыкания с учетом движения сустава нижней челюсти. Выполнена реставрация зубов коронками из диоксида циркония на верхней челюсти. В скором времени планируется реставрация нижний чеюсти.