
Гаджи Гасанович Гасанов
главный врач, стоматолог-ортопед, гнатолог
Стаж: 21 год
Стаж работы с 2004 года. В нашей клинике работает с 2008 года, окончил Первый Государственный медицинский университет им. И.П. Павлова по специальности стоматология, там же прошел ординатуру. Имеет действующий сертификат гос.образца по стоматологии ортопедической, а также сертификат гос. образца по организации здравоохранения.
С 2010 года занимается активно лечением патологий ВНЧС, гипертонуса жевательных мышц ( бруксизм). Окончил курс окклюзионно- структурального баланса. Работает с передовыми и цифровыми методами лечения и диагностики окклюзии. Сплинт-терапия ( лечение на капах). Работает с внутриротовым сканером ,проводит дентальный фотопротокол на всех этапах работы.
Проходил обучение у ведущих мировых производителей систем имплантации .
Специализируется на:
Тотальной эстетической реабилитации винирами и коронками с использованием цифрового протокола.
Восстановлением высоты прикуса при стираемости зубов.
Лечением дисфункции ВНЧС.
Съемном и условно-съемном протезировании.
Микропротезировании.
Протезировании на имплантах системы Astra Tech, Bio-tech, MIS, AlphaBio, Nobel. Osstem, Shtrauman
Изготовлении временных коронок, защитных, миорелаксирующих кап.
Услуги (7)
Кейсы (7)

Пациент
Олеся
Олеся
Пациентка 45 лет. Всегда стеснялась широко улыбаться на фото, стремилась к красивому и долговечному результату. Выполнено: 3Д диагностика и моделировка, тотальная реабилитация винирами и полукоронками с полным восстановлением функции.


Пациент
Роман
Роман
Успешный молодой мужчина обратился за белоснежной улыбкой. Выполнено: 3Д диагностика и моделировка, восстановление зубов на верхней челюсти винирами с полным сохранением анатомическими особенностями и функции.
Пациент
Светлана
Светлана
Пациентка 40 лет. Жалобы на небольшие щели между зубами, общий вид зубов. Хотела добиться ровной улыбки без ношения брекетов. Главные пожелания сохранить легкую ассиметрию, острые клыки и естественную форму зубов, получить эффект отбеленных зубов. "Чтобы никто не понял, что это не свое!" (цитата) Выполнено: 3Д Диагностика и моделирование, реставрация 10 зубов на верхней челюсти винирами и полукоронками.
Пациент
Валентина
Валентина
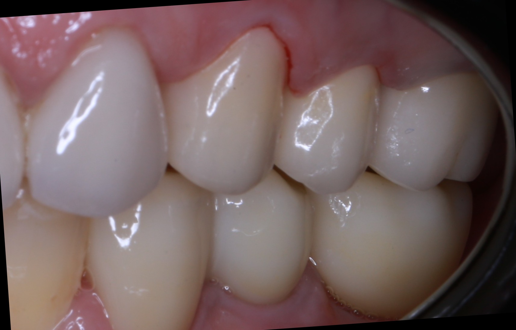
Пациентка 68 лет. Обратилась по поводу отсутствующего зуба в линии улыбки. Вариант имплантации не желателен в связи с сопутствующими заболеваниями. Задача осложнялась состоянием парадонта и дисколоритом зубов. Выполнено: реставрация отсутствующего зуба мостовидным протезом из диоксида циркония.
Пациент
Наталья
Наталья
Пациентка 35 лет. Хотела красивую улыбку, жаловалась на неровные зубы. Выполнено: 3Д диагностика и моделирование, реставрация винирами восьми передних зубов верхней челюсти.

Пациент
Анна
Анна
Красивая, эффектная девушка 40 лет живет в другой стране, носила брекеты около 4х лет. Хотела завершить свое преображение с помощью виниров. Проведена тотальная 3д диагностика, моделирование улыбки и смыкания с учетом движения сустава нижней челюсти. Выполнена реставрация зубов винирами и полукоронками на верхней и нижней челюстях.
Пациент
Анна
Анна
Пациентка 50 лет, обратилась с жалобами на несостоятельность старой мостовидной конструкции. Хотела добиться естественной "молодой" улыбки с восстановлением жевательной функции. Проведена тотальная 3д диагностика, моделирование улыбки и смыкания с учетом движения сустава нижней челюсти. Выполнена реставрация зубов коронками из диоксида циркония на верхней челюсти. В скором времени планируется реставрация нижний чеюсти.